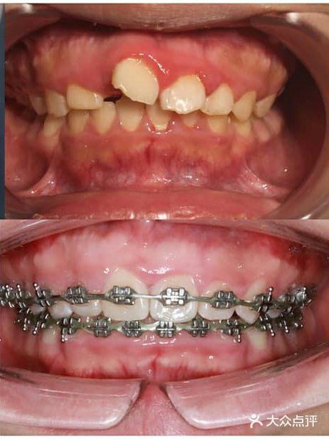
门牙外翻矫正案例
门牙外翻矫正案例
门牙外翻矫正案例
门牙外翻矫正案例

门牙外翻矫正案例

2020-12-13 17:18:35
阅读0
评论0

今天又来给大家分享案例了,这次的案例是一位腼腆的蓝孩纸。[加油][加油]

顾客:阿松

年龄:19

[调皮][调皮]

面诊:第一次见到阿松的时候,他的牙齿的特征就很明显了,[皱眉]因为门牙的外翻,他很难闭上嘴巴,平时不说话,嘴一直都是微微张开的,非常影响到他的生活。在拍片交谈之后,了解到阿松因为小时候[婴儿]乳牙迟迟不掉,后来的恒牙生长缓慢,加上萌出顺序紊乱,造成了门牙的畸形,[生病]在晚上睡觉的时候还有口呼吸的习惯,导致门外外翻情况加重,同时牙齿的中线不齐,上排牙也是有外凸的趋势。

[开心][开心]

这种情况下,如果放任不管,之后是一定会影响到面部和唇部的形态,[叹气]不仅是会影响到正常的进食说话问题,[心碎]更重要的是对还在读书的人造成心里上的阴影。

而通过正畸是可以很好的牵引牙齿到正常的位置,同时调整咬合,恢复到正常的健康口腔。[OK]

[K歌][K歌][K歌]

方案:鉴于阿松本身牙齿有足够的矫正空间,上下排牙齿还算是比较整齐,主要的矫正牵引在于外翻的门牙上,因此是不用拔牙矫正。[OK]矫治器根据他的实际情况选择了金属自锁。

[嘿哈][嘿哈]

这里有一点可以说下,很多人可能会有疑问,阿松只有那颗门牙要矫正,是不是可以只做上排的牙齿矫正呢?

[疑问][疑问]其实在某些情况下,只矫正上排或者下排牙齿的案例也是存在的,但是这种情况是比较特殊的,也是少数的;[双手合十]因为牙齿矫正不仅仅是把牙齿排列整齐,还要改善牙齿的咬合功能,即调整上下颌骨之间,上下牙齿之间以及牙齿与颌骨之间不正常的关系。

[糖果][糖果]

如果贸然的只是矫正上排或下排的牙齿,没有考虑到牙齿的咬合,[皱眉]那么牙齿与牙齿的对位就会产生不协调,进而导致矫正失败或者反弹。

[爱][爱][爱]

过程:第一次做矫正的人大概都会经历很多不适应, 阿松也是每次来复诊都会告诉我他的感受,比如金属的钢丝挂了嘴,[叹气]比如吃东西不小心磕掉了托槽,心里着急想看到变化,因为大部分矫正得人遇到的问题都是类似的,[OK]所以你如果没有办法解决,就一定要及时的告诉你的矫正医生,在矫正的过程中得到最大的帮助。[笑脸]而矫正变化是因人而已的,牙齿的复杂情况是会影响后续矫正的时间,所以做矫正是一件很漫长的事情,也是需要大家的耐心。

[礼花][礼花][礼花]

效果:在经历了一年多的矫正之后,阿松的变化是比较明显了,上门牙的外翻基本已经内收到正常的位置,现在正常不说话的情况下,也是可以紧闭嘴唇,面型和唇型也是得到了改善。[爱心]看到效果这么好,我也是很替阿松高兴,[鼓掌][鼓掌]毕竟他还在最好的年华中,也应该是最自信心的时候。现在阿松还在继续矫正中,虽然门牙的外翻得到改善,但是现在是需要继续调整他的咬合,让上排牙齿的对位更加协调。希望他继续加油![拥抱][拥抱]

热门点评

跟着寶寶寻味广佛 这家tai有范儿了!复古爱好者必去! 如同胡同里隐世的玩具秘密基地 走的是 60年代的情怀风 老桌椅、物件、海报都布满了岁月变迁的斑驳 往店里面走仿佛穿越一般,不论是桌子还是摆设都是非常的复古 日咖夜酒“早C晚A” 白天看看书聊聊天 适合在这儿享受漫漫春光 晚上🌃品品酒🍷聊人生 实在惬意 💓动menu: ☕️先生的白衬衫 独特名字一下子吸引住了我👀 复古风绘花杯 🍎苹果干点缀奶泡丰富 咖啡香气扑鼻🤩 🍰歌剧院蛋糕 “人如其名”三层加厚巧克力🍫风味浓郁 一口下去满满的幸福感 甜品🍮控不容错过‼️   ——我是可爱的分割线—— 云囍公馆。日咖夜酒(北京路店) ❣️地址: 惠福东路惠新东街16-18号(北京路步行街永盈茶餐厅拐角,直入 60米) 🚇:北京路站B口步行530m

🔅极简主义强调功能至上,化繁为简 尽可能地摒弃多余而浮夸的修饰 让一切回归最纯粹的样子 从而到达至真、至纯、至静的境界 家居设计中的极简风格更是如此 🔅从玄关进入室内 有大量的储物空间 混凝土墙面与深色木饰面搭配 顶部细长条的顶灯照明 一直延伸到客厅 🔅客厅抛开一切冗余的元素 以简单的线条彰显优雅格调 注重一点、一线、一面及细节处理 再搭配高品家具 呈现一种感官上的时尚感 🔅餐厅和厨房在同一区域 深浅不一的灰色调,低调却充满层次感 巨大的球形吊灯 使得整个空间不会显得太过暗淡 既有照明功能又是一件装饰

前些日子,刷视频刷到一个女的说喝完奈雪的玉油柑后被困在商场厕所,腿都麻了都出不去厕所 出于好奇心,我惦记这个玉油柑好几天,无奈缺货也好几天。如今!我也终于喝到玉油柑了! 〰️ 一大瓶到手份量很足,入口凉凉的,酸酸甜甜,还带一点点的茶味,很清爽。口感稍微发涩,但并不会明显,口中玉油柑下肚后几秒,满口回甘生津。味道很是适合热热暖暖的广州了,我好喜欢啊! 我知道网上有人对油柑褒贬不一,于我而言,发涩和回甘的程度都是属于可以接受的,并不会引起不舒适。 〰️ 至于后续,确实是会持续好长一段时间跑厕所,突然之间,我也懂了那个女人的呐喊了[笑哭][笑哭]清肠的效果比我预想中的还要好💥 第二天起来发现自己少了三斤,减肥的朋友可以考虑一下 〰️ 温馨提示 1⃣️确保自己在一个稳定的空间再饮用,需要一个较长的时间拥有一个属于自己的厕所 2⃣️尽量不要空腹喝,对我来说会稍有头晕心悸的不适感

作为资深甜品脑袋,偷懒不想出门的时候,必定要点上一份甜品外卖🥡挖到美味的🍰店,真的会治愈一整天❤️ #千层蛋糕#宝藏甜品店分享#福州探店#甜品外卖#甜品治愈一切#蛋糕小店#蛋糕推荐#外卖#福州吃喝玩乐#下午茶甜品

咖啡市集上的自行车咖啡馆。 同伴要的啤酒花冰咖啡,因为要开车,很遗憾没能好好品尝一下。喝过的朋友反映说味道还不错,啤酒花的香味融合的很好,有着独特的清爽感。 排队的人有点多罢了。 不过咖啡市集,哪里会有人少的地方呢。

💛 💚 💙 💜 🧡 爱美食爱生活的L1ssa上线啦️〰️ ¨̮ ᴴᴬᵛᴱ ᴬ ᴳᴼᴼᴰ ᵀᴵᴹᴱ - 啊啊啊救命🆘!武汉也有可可爱爱而且超级好吃的泰式捞面了! 超级棒的味道,酸酸辣辣的小龙虾也多,而且不是半成品,都是手剥小龙虾,再加上这个颜值谁能不爱!🦞 - 🏠觅食荟 📍大智路 - 🥲这家真的是我在武汉吃到的最好吃的东南亚小吃店了! 从最开始的海南鸡饭到后面的泰式生腌小海鲜,再到现在的泰式小龙虾拌面,一路走过来我也算忠实顾客了。💕💕💕 现在每次老板一出新品,我就第一时间冲过来打卡。🔥 - 🌈泰式捞汁小鲍鱼 这个小鲍鱼QQ弹弹的,肉质很紧实,应该是非常新鲜的。汤汁味道特别好!酸酸辣辣。 · 🌈泰式捞汁罗氏虾 罗氏虾是这个系列,我最喜欢的!🏆 个头超级大,本以为是冷冻的,结果肉质意外的新鲜![强] 罗氏虾,一般很难入味,但是老板应该是花了心思,做得很好吃![爱心]

推荐阅读

早上空腹过来检查。主要项目都在三楼做

过年给爸妈买了体检卡,提前在APP上预约好时间,收到确认短信后,早上空腹过来检查。主要项目都在三楼做,医生态度都还可以,有的医生特别亲切,这会让体检者更放松,体检结束后有早餐提供,报告三天就出来了,整体感觉不错!

嘀嗒
4039
93
早上空腹过来检查。主要项目都在三楼做

关于孕期饮食,这个人说可以吃,那个人说不可以吃

最全整理|孕期饮食禁忌,这些千万不要吃✖️👉怀孕十月,孕妈妈总会遇到各种各样的问题,关于孕期饮食,这个人说可以吃,那个人说不可以吃,孕妈不知道该听谁的❓ 👉其实呢,孕期的饮食没有特别多的禁忌,但还是小心些比较好哟~毕竟宝宝的身体健康可是不能马虎的。孕妈平时饮食要遵从适量、均衡、多样化的原则。[派对R] 👉整理了关于孕期饮食的内容,其中包含:孕期不能吃的食物、可以少吃的食物、适合孕妇吃的水果、千万不能吃的水果,以及孕期的饮食禁忌。 💗其实孕期控制饮食没那么困难,也没那么可怕,最多 也不过就是10个月,生完就好了。 👏为了宝宝,各位宝妈们再坚持一下哦~~

叶慧君医生
3610
63
关于孕期饮食,这个人说可以吃,那个人说不可以吃

怀孕后,你真的照顾好自己的牙齿健康了吗?

进入孕期,除了要保养身体皮肤,孕妈也需要关注自己的牙齿健康。而在牙齿健康上,坚固牙齿和牙龈比维持牙的卫生还重要,因为在此时,机体内的妊娠激素可能会引起牙龈肿胀,如果不合理保养,在刷牙和使用牙线时就容易牙龈出血问题,继而导致牙龈细菌感染并且形成噬菌斑。那么究竟该如何保养牙齿和牙龈呢? 🎀坚持每天刷牙 孕妈每天至少刷牙2次,每次饭后都应该刷牙。 🎀使用柔软的牙刷 用柔软的牙刷刷牙不易引起牙龈出血,刷牙后,再用指尖轻轻按摩牙龈,以增加牙龈的血液循环 🎀天天用牙线 使用牙线时也要轻柔,若用牙刷更要点到为止 🎀咀嚼口香糖 当不能刷牙时,咀嚼无糖的口香糖能防止产生噬菌斑 🎀经常看牙医 怀孕后应该要比平常更多频次地去看牙医,一般6个月一次。并且要告诉牙科医生,自己已经怀孕,以避免使用X光。 *为什么孕期尽量避免使用X光? 尽管在使用X光检查时可以屏蔽腹部,来减少X射线对孕妈的损害,但出于安全考虑,孕妈最好还是避免进行X光检查。如果需要大范围的治疗,可以提前询问一下医生,是否能等到宝宝出生后再进行。 🎀洗牙 在孕期,孕妈最好能避免系统洗牙。系统洗牙常用过氧化物或紫外线进行,尽管此物质对机体的影响尚不清楚,但还是小心为妙。 以上就是今天的全部内容,即使是在孕期,妈妈们也一定要好好关注自己的牙齿健康哦~

落霞
5277
48
怀孕后,你真的照顾好自己的牙齿健康了吗?

在医院也能打个咖啡和汉堡做早餐

一大早去医院检查 在等报告的时候,最适合吃个早餐 没想到在医院里也有一个咖啡厅 可以悠闲吃个早餐🥣 一杯美式(什么都没事) 一个贝果🥯汉堡🍔 饱腹满满 早餐套餐21元💰价格[OK] 但咖啡☕️品质一般 图一个方便 喝咖啡星人到哪都要喝咖啡☕️ 「贝瑞咖啡(省人民医院店)」 #0元玩转这座城 #广州秋冬美食打卡 #广州休闲娱乐 #广州探店看边度 #广州吃货日记 #贝瑞 #老广生活碎片

荧光荧光的夏天
686
96
在医院也能打个咖啡和汉堡做早餐

铛铛铛,史上最全备孕攻略来了,需要的集美点赞收藏保存

🌟铛铛铛,史上最全备孕攻略来了,需要的集美点赞收藏保存哦 🌟备孕心态篇: 1.保持良好的心态对于是否可以成功孕育宝贝非常重要,在备孕期间,准爸爸要多为准妈妈着想,以准妈妈为中心,让她拥有一个愉悦平和的心态 。 2.双方应对孕育宝贝有个积极的心态,乐观心态迎接到的宝贝,宫内胎儿是可以感受到的,这样有利于宝贝的生长发育。 3.准妈妈对怀孕不要抱有心里负担,有的年轻妈妈担心身材走样,生育疼痛,照顾不好新生宝宝,会很焦虑。事实证明只要通过合理的锻炼,身材还是会恢复的。 🌟备孕生理篇: 1.提前做好孕前检查,如有问题及时治疗。 2.在备孕期间,男性不宜穿着紧身裤,由于使睾丸压向腹股沟管而增温,以致造成生精功能减退,女性也应该穿着宽松的衣服。 3.备孕期间,坚持锻炼身体,可以为下一代提供较好的遗传素质 🌟备孕饮食篇 1.保证热能,优质蛋白质,脂肪,无机盐和微量元素的供给 2.多吃水果,小米,玉米,海产品,花生米,芝麻,核桃 3.及时补充叶酸,男女都需要补充,多吃富含叶酸的食物:绿色蔬菜:青菜,花椰菜,扁豆,蘑菇。 新鲜水果:橘子,草莓,香蕉,樱桃,葡萄,猕猴桃 4.动物食品:动物肝脏,肾脏,禽肉,蛋类。 5.豆类坚果类:黄豆,核桃,腰果,杏仁 6.谷物类:大麦,米糠,小麦胚芽,糙米 🌟保健和禁忌 1.保健:多运动,保持早睡早起的习惯 2.禁忌:计划怀孕前三个月开始就要不服用药物 3.不吃含食品添加剂,防腐剂多的食物,也不吃容易过敏的食物,避免吃腌制类食物 🌟优生的条件和时机选择 1.新婚和蜜月期间的夫妻不易怀孕,身体比较疲惫,作息不规律,大量吸烟喝酒,都不利于孕育宝宝。 2.长期服用药物的女性刚停药和不久前刚受过X线照射的女性也不宜怀孕。 3.最佳受孕年龄:24~29之间 4.最佳受孕季节:6~8月之间 5.最佳受孕时机:环境良好,女性排卵期间,双方心情愉悦。 6.最佳受孕环境:空气清新,男女双方精力充沛,安静,不受外界干扰。 🌟如何成功受孕 1.女性要坚持观察自身变化和测体温,一般排卵期,宫颈粘液呈现蛋清状态,排卵前体温降低,排卵后体温升高。 2.性生活过后要垫高臀部,防止精液流出 3.要保持性生活频率,不可过于频繁,这样会影响精子质量。 最后祝愿大家都可以早日孕育出一个可爱的宝贝👶

落霞
8995
28
铛铛铛,史上最全备孕攻略来了,需要的集美点赞收藏保存

如何判断孩子是否患有多动症?

【如何判断孩子是否患有多动症?】 宝宝多动症的五大表现: 1 注意力不集中 孩子注意力不集中,不持久,主观控制力不足,不能注意听教师讲课,容易被外界的刺激分心。家长反映,孩子在玩游戏机和看有趣的电视时却能目不转睛,高度集中,但需用意志控制的上课就不能注意,缺乏学习上的坚强意志和毅力,无法好好学习甚至厌学。 2 活动过多 表现为心神不定,心慌意乱,有头无尾,杂乱无章。在课堂座位上不停扭动,做小动作,东张西望。下课后如脱缰野马,无目的地狂奔乱跑。部分多动症儿童似乎比较文静、少动,但注意力易分散,上课思想开小差,不知道上课的内容。 3 冲动任性 易激动,好发脾气,冲动任性,做事缺乏考虑,不顾后果。常随心所欲进行捣乱,破坏东西、偷窃、斗殴、惹是生非。 4 心理改变 情绪不稳,有的兴奋不安,话多,爱管闲事,做事毛躁,难以入睡;有的反应迟钝,动作懒散,作业拖拉,情绪波动,感情脆弱,易哭易笑,不能承爱挫折,不合群或喜欢与较小的儿童为伍;性格倔强,不怕打骂,不听劝告,我行我素,有的产生自卑逆反,甚至出走、犯罪或自杀。 5 学习困难 多动症儿童智能并不低下,但约有60%左右学习困难。表现 ①视运动障碍:如临摹图画时,画面安排无序,不按原形排列,文字书写潦草; ②听觉障碍,辨音困难:不能将语音组成词汇或句子; ③认知困难:分不清左右、颜色、地点、定向; ④朗读困难:容易念错,如78读成87;武汉读成汉武; ⑤考试时会“上场晕”:平时能答的题全部忘记,成绩下降,有明显学习困难。 确诊孩子有多动症后,建议家长可以尝试这样做: 1、利用正强化 多动症儿童常常会被负面语言困扰。试着“捕捉他们的良好表现”。所以当发现您的孩子良好地完成任务或正确地遵循指令时,要在当下表扬他们。例如“我看到你把你的外套挂起来了,非常棒!” 2、专注于行为 不要经常批评您的孩子的行为,而应关注相关行为的负面后果。不要说,“我告诉过你不要推!试着说,“我不喜欢你推你的弟弟,他会受伤。” 请务必说出行为并且只针对行为。重要的是,即使您不喜欢他们的行为,您的孩子也会明白您爱他们 3、帮助他们放松 放学后小朋友到家会经常疲惫不堪或者情绪低落。他们在学校一整天都努力控制他们的反应并参于课程。通过给予他们渴望的东西以调节他们的觉醒水平来帮助您的孩子。 到家后,可以让他们去跑步,在户外玩耍,或干一些家务活,如用吸尘器打扫、提洗衣篮、往架子上放东西。这可以为他们整天渴望身体活动提供大量的平静放松。 4、提供感官食品 吃一些需要大量咀嚼或吸吮的食物、用吸管喝健康的饮品,这可以为口腔提供繁重的工作,有助于多动症儿童平静下来。脆脆的蔬菜、坚硬的椒盐脆饼干、坚果和水果都是不错的选择。尽最大的努力使他们保持健康,因为糖和咖啡因会增加多动症。 5、使用有用的指令 在给予指令之前,叫他的名字,以获得孩子的注意力。 使用命令句而不是疑问句,例如“请在出门前清理你的玩具”,而不是“你能清理你的玩具吗?” 指令应尽量具体,如“请在晚餐前倒垃圾”。保持指令简短并且适合孩子的发展水平。 6、记录每日图表 家庭日报卡和学校日报卡可以帮助孩子欣赏他们的进步。当孩子们能够在日常生活中以可见的方式看到他们的成功时,对他们来说更有意义,也能让他们根据进步获得奖励。 7、制定积分或代币制 当您的孩子完成特定项目(如家务或家庭作业)时,他们可以获得积分。短期奖励通常更有效,例如糖果或玩他们最喜欢的视频游戏系统的时间。没有完成某些任务也应该导致积分被扣掉,正面强化对于孩子来说比负面强化或惩罚更具有强烈的动机。 8、使他们的双手忙碌 多动症小朋友通常可以从手上拿东西保持双手忙碌中受益。在家里,可以让他们帮助烹饪和厨房任务,如揉面团或压饼干模具。让他们手上拿玩具,如硬橡皮泥或玩具。鼓励他们在口袋里放些玩弄小物件,例如释放压力的挤压玩具或小豆袋等!

dpuserAt_0143867563
2404
62
如何判断孩子是否患有多动症?

牙黄了那么多年,让它白一下吧!

牙黄了十几二十年,从来不知道笑起来一口白是什么感觉;新买的口红到了,迫不及待地涂上去,满口的鲜艳与风情,微微一笑,没有倾城,反而在口红的衬托下,黄牙越发明显[笑哭]美丽的面孔,精致的妆容,唯独在这加了一点“黄”的颜值上让人没了期待,牙黄了那么多年,是该让它们白回来了! [加油] 🐾为什么大部分人的牙齿都是黄色的 🐾 牙齿和肤色一样,先天因素占比不少,有人天生发育时颜色偏深,这也是所谓的内源性着色🤔剩下的一部分幸运一点,牙齿天生没那么黄,但是因为茶、烟、酒、咖啡、饮料等生活习惯⚡️会让牙齿渐渐侵染各类矿物质后,逐渐发黄甚至发黑;如果天生牙齿发黄,还有茶、烟、酒、咖啡、饮料等生活习惯,那么牙齿的颜色将会日渐加深[心碎] 🐾但还有个更深的疑问,我没有茶、烟、酒、咖啡、饮料等生活习惯,为什么牙齿还是发黄🐾 其中一个重要原因就是水质💫 当我们的饮用水中含氟超标,牙齿会出现白垩型、黄褐色甚至暗棕色斑块,我们把这样的牙叫做氟斑牙,它比发黄的牙齿更为难看。如果水中的含氟量是 1⃣mg/L ,那么该浓度既能有效防龋,又不致发生氟斑牙🌴 如果你的饮水没有问题,又不是茶、烟、酒咖啡之类的爱好者,但是不爱刷牙,没有正确的刷牙习惯,导致牙齿表面堆积一层食物残渣、软垢、牙石、牙菌斑和沉积的牙结石等🎙这些并不是牙齿本身发黄,而是不注意口腔卫生造成的,这可就是一手好牌打烂了🚑 当然牙齿发黄除了一些主动性因素之外,还有一些不可抗因素,如年龄增长,牙齿自然老化[撇嘴]因为生病,曾服用过抗生素、四环素进行治疗,牙齿受过外伤,都会让白牙逐渐转变为发黄、变棕甚至发灰、发黑🍁 🐾发黄的牙齿有几种美白方法🐾 🍒冷光美白 采用专业的的牙齿美 剂(一次性而且无刺激),通过冷光照射后的化学反应去除牙齿较深层的色素,并且对牙齿没有损伤🏆低温冷光避免了治疗过程中对牙神经的刺激,天生牙齿较黄、后天色素沉着、轻度氟斑牙等都可以采用🐬 优点⏩一次性完成、即刻显现效果,简单易操作,不伤牙☝ 缺点⏩多少有点反弹,对四环素牙、氟斑牙等要配合其他治疗,效果因人而异💫 🍒瓷贴面 瓷贴面如同“美瞳”片一样薄,将这层薄薄的贴面贴在牙釉质上,可以改善牙齿的颜色并且达到十分自然又美观的效果💄并且瓷贴面可以自由选择颜色,制作工艺精密,色泽形态和我们真牙几乎无差别🚫 优点⏩效果好,价格容易接受,比较持久🌴 缺点⏩避免用贴面牙的边角咬硬物,易脱落,磨除的牙釉质不可再生💦 🍒美容冠 如果牙齿发黄并伴有一定的缺损,比较好的美容修复方式就是美容冠,这也是目前密合度最好、颜色效果最接近天然色的口腔修复体🌞美容冠表面细菌无法生存,因此除了美白效果外,也不容易出现蛀牙🌺比较适用于中、重度四环素牙、氟斑牙、釉质发育不全、牙齿有裂纹、残缺、坑洞等严重个例,美白效果明显✨ 优点⏩效果好,性质稳定,比较持久[加油] 缺点⏩将牙齿整体磨除稍多且不可再生。 🐾温馨提示🐾 选择适合自己并且能接受的方式美白自己的牙齿,无论哪种美白方式,治疗后都需要好好进行保护,洁白、健康的牙齿来之不易,别让不良习惯毁了它👸

dpuserAt_7753349306
6422
63
牙黄了那么多年,让它白一下吧!

2020.3.6 牛奶真的戒不了呀

一周又结束啦 每天上午一边开会一边早餐真棒 早:牛奶燕窝益生菌 水果 花卷 大家都留言说我吃多了 哎 碳水放早上呀 我晚上不吃饭的 算了不说了 午:今天是九宫琼林的火锅外卖 双人餐好多呀 直接mt下单就好啦 今天的茶叶散装 我拿了茶袋泡

咸蛋黄酱酱
8891
79
2020.3.6 牛奶真的戒不了呀