上海[更换]

国内城市

上海 北京 广州 深圳 天津 杭州 南京 苏州 成都 武汉 重庆 西安

国外城市

东京 首尔 曼谷 巴黎
更多城市 >
你好,请登录/注册 | 个人中心 | 商户服务 | 帮助中心
商户中心 商户合作 招募餐饮代理 招募非餐饮代理 餐饮商户中心
平台规则 联系客服
搜索
全部分类 预约订座
  • 美食 火锅 面包甜点
    菜系 更多
    火锅 本帮江浙菜 日本菜 面包甜点 咖啡厅 自助餐 小吃快餐 西餐 韩国料理 粤菜 烧烤 东南亚菜 川菜 素菜 东北菜 湘菜 云南菜 新疆菜 海鲜 西北菜 蟹宴 台湾菜 贵州菜 面馆 小龙虾 江西菜 家常菜 其他
    热门推荐
    刺身 红烧肉 牛排 烤鱼 三文鱼 意大利面
  • 休闲娱乐 足疗 KTV
    足疗洗浴
    足疗按摩 洗浴/汗蒸
    玩乐
    KTV 酒吧 密室逃脱 轰趴馆 茶馆 私人影院 网吧网咖 DIY手工坊 采摘/农家乐 文化艺术 游乐游艺 VR 桌游 团建拓展 棋牌室 桌球馆
  • 结婚 婚纱摄影 婚礼策划
    结婚 更多
    婚纱摄影 旅拍 婚宴 婚礼策划 婚纱礼服 西服定制 婚戒首饰 彩妆造型 司仪主持 婚礼跟拍 婚车租赁 婚礼小商品 个性写真 更多婚礼服务 婚房装修
  • 电影演出赛事 电影院 演出场馆
    电影
    电影院
    演出赛事
    演出场馆 剧场/影院 音乐厅/礼堂 艺术中心/文化广场 热门演出 赛事展览 其他电影演出赛事
  • 丽人 美发 医学美容
    丽人 更多
    美发 美甲美睫 美容/SPA 养发 瘦身纤体 瑜伽 舞蹈 韩式定妆 祛痘 纹身 化妆品 产后塑形
    医学美容 更多
    水光补水 瘦脸 抗衰老 双眼皮 玻尿酸 美白嫩肤 除皱瘦脸 白瓷娃娃 隆鼻 超声刀 冷冻溶脂 自体脂肪填充 激光溶脂 黑脸娃娃 热玛吉 开眼角
  • 酒店 五星/豪华 经济连锁
    高端酒店 更多
    五星级/豪华型 四星级/高档型
    性价比 更多
    三星级/舒适型 经济连锁
    特色酒店 更多
    情侣酒店 青年旅社 客栈
  • 亲子 亲子摄影 早教中心
    亲子摄影 更多
    儿童摄影 孕妇写真 满月照 百天照 上门拍 全家福
    亲子游乐 更多
    儿童乐园 婴儿游泳 亲子活动 亲子会所 儿童运动馆
    幼儿教育 更多
    早教中心 STEM 幼儿园 托班/托儿所
    孕产护理 更多
    月子会所 月嫂/育儿嫂 开奶催乳
  • 周边游 景点 水上娱乐 周边游 景点 水上娱乐 展馆展览 动植物园 温泉 滑雪
    周边玩乐
    展馆展览 采摘/农家乐 温泉 动植物园 水上娱乐 滑雪 景点 旅游其他
  • 运动健身 健身中心
    专业健身
    健身中心 武术场馆 游泳馆
    休闲运动
    羽毛球馆 溜冰场 射箭馆 篮球场 桌球馆 网球场 攀岩馆 乒乓球馆 足球场 高尔夫场 保龄球馆 体育场馆 壁球馆 更多运动
  • 购物 综合商场 服饰鞋包 运动户外
    购物 更多
    综合商场 服饰鞋包 运动户外 珠宝饰品
  • 家装 装修设计 定制家居
    装修设计 更多
    装修公司 装修美图 装修资讯
    定制家居 更多
    全屋定制 家具定制 橱柜
    装修建材 更多
    地板 瓷砖石材 厨卫洁具 灯饰照明 油漆涂料 集成吊顶
    家具家居 更多
    成品家具 床品家纺 窗帘 家饰餐厨 智能家居 家用电器
    家装卖场 更多
    建材卖场 家居卖场 灯饰卖场
  • 学习培训 外语 音乐
    外语留学
    英语 日语 韩语 法语 德语 留学
    艺术兴趣
    美术 音乐 书法 舞蹈 主持表演 国学
    职场技能
    驾校 IT 会计 厨师 学历提升 自习室
    升学辅导
    学科辅导 STEM
  • 生活服务 快照 家政
    生活服务
    快照冲印 文印图文 搬家运输 生活配送 家政服务 洗涤护理 生活缴费 社区服务 成人用品
    维修回收
    家电数码维修 居家维修 回收
    周边设施
    通信营业厅 售票点 银行 交通 房屋地产 政府机构 丧葬
    商业服务
    律师服务 财务服务 金融 文化传媒
  • 医疗健康 齿科 体检中心
    医疗健康
    口腔齿科 体检中心 医院 药店 中医 宠物医院 整形 妇幼医院 其他医疗
  • 爱车 美容洗车 维修保养
    爱车 更多
    美容洗车 维修保养 摩托车 加油站 停车场 汽车租赁 4S店/汽车销售 配件/车饰 交警队 汽车保险 年检站
  • 宠物 宠物店 宠物医院
    宠物 更多
    宠物店 宠物医院
推荐菜价格是综合大众点评网会员提供信息,按照一定科学算法,由程序自动更新而成;由于菜价的实时性,可能有所误差,给您带来的不便,敬请谅解
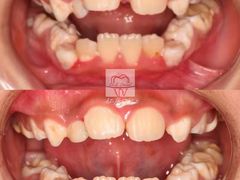
  • Dr.Z dental仁康种植矫正中心
  • 全部图片
上传图片


  • 全部图片»
  • 环境(21)»
  • 其他(7)»
  • 商户官方图片»
  • -Dr.Z dental仁康种植矫正中心

    WEI | 20-08-30
    报错
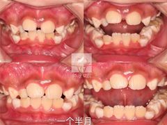
  • -Dr.Z dental仁康种植矫正中心

    WEI | 20-08-30
    报错
  • -Dr.Z dental仁康种植矫正中心

    WEI | 20-08-30
    报错
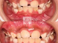
  • -Dr.Z dental仁康种植矫正中心

    虞美人 | 20-08-27
    报错
  • -Dr.Z dental仁康种植矫正中心

    虞美人 | 20-08-27
    报错
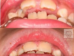
  • -Dr.Z dental仁康种植矫正中心

    虞美人 | 20-08-27
    报错
  • -Dr.Z dental仁康种植矫正中心

    虞美人 | 20-08-27
    报错
  • -Dr.Z dental仁康种植矫正中心

    baiyxia | 20-08-27
    报错
  • -Dr.Z dental仁康种植矫正中心

    baiyxia | 20-08-27
    报错
  • -Dr.Z dental仁康种植矫正中心

    baiyxia | 20-08-27
    报错
  • -Dr.Z dental仁康种植矫正中心

    昵称中的昵称中的昵称 | 20-08-21
    报错
  • -Dr.Z dental仁康种植矫正中心

    昵称中的昵称中的昵称 | 20-08-21
    报错
  • -Dr.Z dental仁康种植矫正中心

    昵称中的昵称中的昵称 | 20-08-21
    报错
  • -Dr.Z dental仁康种植矫正中心

    昵称中的昵称中的昵称 | 20-08-21
    报错
  • -Dr.Z dental仁康种植矫正中心

    昵称中的昵称中的昵称 | 20-08-21
    报错
  • -Dr.Z dental仁康种植矫正中心

    昵称中的昵称中的昵称 | 20-08-21
    报错
上一页 1 ... 61 62 63 64 65 66 67 68 69 ... 下一页

关于我们| 商户诚信公约| 规则中心| 媒体报道| 商户入驻| 推广服务| 人才招聘| 最新咨询| 联系我们| 应用下载

资讯评论精选

©2003-2022 dianping.com, All Rights Reserved. 本站发布的所有内容,未经许可,不得转载,详见 《知识产权声明》。